Предупреждение!
Первичная опухоль в клетках шейки матки зачастую не может быть определена, так как никак себя не проявляет. На ранней стадии нет очевидных признаков заболевания. Если патология прогрессирует, то могут появиться следующие симптомы:
- Кровотечения, например, после полового акта.
- Кровотечения после нагрузок, таких как велоспорт, верховая езда или крепкий стул.
Однако не всегда кровотечения обуславливают именно карциному или инвазивный рак, многие другие относительно безобидные нарушения в шейке матки также их вызывают.
Несмотря на это, если вы заметили эти симптомы у себя, то должны обратиться к вашему гинекологу или врачу для того, чтобы прояснить их причину.
Что делает врач?
Существуют передовые методы обнаружения рака шейки матки на ранних стадиях: в рамках профосмотра (раннего гинекологического исследования) в 20-ти летнем возрасте у вас из шейки матки берется мазок на онкоцитологию. При этом уже на начальной стадии заболевания можно провести диагностику и назначить терапию. ПАП-тест является важной составляющей частью ежегодного, рекомендованного исследования по раннему выявлению рака.
При обследовании в гинекологическом кресле сначала осматривается слизистая влагалища на цитоонкологию, затем маточный зев. Осмотр проводится с помощью специального инструмента – влагалищного зеркала. Затем врач берет ватным тампоном, маленьким шпателем или кисточкой немного клеточного материала со стенок шейки матки. Это совершенно безболезненно. Соскоб наносится на небольшое предметное стекло. Этот материал направляется в лабораторию, где его рассматривают под микроскопом (цитомикроскопия).
Частные методы обследования.
Медицинский осмотр (пальпация).
Прежде всего, врач подробно спросит о жалобах, выявит возможные факторы риска и проведет пальпацию. Поверх брюшной стенки врач диагностирует тело матки и, вместе с тем, через влагалище – шейку матки или тело матки на возможные новообразования (двуручная). Дополнительно, врач может обследовать ректально. Уже на этом этапе специалист получает важную информацию о характере и степени заболевания.
Мазок на цитологию (ПАП-тест).
Этот метод способен быстро выявить новообразования. С помощью специального инструмента, называемого влагалищным зеркалом, врач, прежде всего, раскрывает влагалище. Таким образом, внутренняя стенка шейки матки через небольшое зеркало может быть доступна. Затем врач берет ватным тампоном или шпателем мазок клеточного материала со стенок и цервикального канала. Этот процесс является совершенно безболезненным.
Извлеченные клетки наносятся на небольшое предметное стекло и рассматриваются в специальной лаборатории на предмет патологий. Если встречаются отклонения от нормальной клеточной структуры, то врач распоряжается о дальнейших исследованиях - в зависимости от результатов.
Впервые "ПАП - тест" применили два врача-анатома Папаниколау (1883-1962) и Траут (1894-1963), которые и разработали этот частный метод для исследований клеток тканей в США.
ВПЧ-тест
Значительная доля всех сексуально активных женщин инфицируется как минимум один раз в жизни вирусом папилломы человека (ВПЧ). Преобладающая доля этих инфекций переносится без жалоб или злокачественных онкопоследствий. Более того, большинство типов ВПЧ безвредны, только небольшая часть из них инициируется в связи с развитием злокачественных онкологий. Для рака шейки матки характерен ВПЧ16 и ВПЧ18 тип.
Опухоли почти всегда запускаются ВПЧ. Поэтому, тест для подтверждения наличия ВПЧ в определенных ситуациях (например, отрицательный мазок Папаниколау) является полезным. Вирус папилломы человека можно обнаружить с помощью молекулярных методов в клетках шейки матки.
Исследования показали, что отрицательный тест на ВПЧ почти исключает на момент исследования наличия онкологий или первых признаков их развития. Однако и положительный результат ещё не является основанием для тревоги: не более 2-3% всех случаев инфицирования ВПЧ приводят к раку шейки матки.
Положительного результата теста недостаточно для постановки соответствующего диагноза. В любом случае, дополнительные биопсии должны быть выполнены, чтобы определить, являются ли клетки на шейке матки онкогенными и на какой стадии они находятся.
Наблюдения через оптическое увеличение шейки матки и влагалища (кольпоскопия).
С помощью устройства, функционирующего как увеличительное стекло (кольпоскоп), врач может осмотреть слизистые поверхности шейки матки и влагалища с 10- до 40- кратного увеличения. Как и при ПАП-тесте, врач, прежде всего, раскрывает влагалище с помощью зеркал. Для того чтобы четко рассмотреть слизистую оболочку, изображения можно передавать на монитор. Через оптическую лупу врач может обнаружить даже очень малые изменения и классифицировать их как доброкачественные или злокачественные.
Изучение клетки (цитология) и диагностический осмотр (кольпоскопия) позволяют более чем в 90 процентов всех случаев правильно идентифицировать новообразования.
|
|
|
Доброкачественные образования маточного зева (Эктопия) вид внутренних поверхностей влагалищапутем оптического увеличения (Кольпоскопия). |
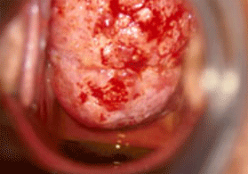
Рак шейки матки (карцинома) - вид матки, путем оптического увеличения (Колпоскопия). |
Бекманн, профессор. Гинекологический онкологический центр, Франкония (Германия), Гинекологическая клиника, г. Эрланген
Вакцинация против ВПЧ.
С тем, чтобы максимально снизить риск развития рака шейки матки, постоянным комитетом по вакцинации в Институте Роберта Коха (STIKO) проводится общая вакцинация всех девочек в возрасте от 12 до 18 лет против вируса папилломы человека (типы 16, 18). С помощью вирусоподобных частиц (ослабленные или убитые микроорганизмы), содержащихся в вакцине, активизируется иммунная система и, тем самым, формируется защита организма.
Источники:
Принципы лечения рака шейки матки, эндометрия карциномы и трофобластической опухоли, издательство W. Zuckschwerdt, 2008, стр.1-72
H.J. Schmoll, K. Höffken, К. Possinger (ред.): Сборник медицинской онкологии, издательство Springer, 2006
Профессиональная консультация: Профессор Matthias W. Beckmann, Германия
Информация переведена с сайта: www.krebsgesellschaft.de






Чтобы оставить комментарий, необходимо авторизоваться
Причины увеличения матки могут быть как вполне безобидными и естественными, так и являться симптомом заболевания. В любом случае, самостоятельно понять характер изменений, и делать какие-либо прогнозы невозможно. Часто матка увеличивается в размере в период месячных, так как ей приходится работать в усиленном режиме, а для обеспечения эффективной работы растет количество мышечных волокон, и происходит их утолщение. Возможно увеличение матки в период, предшествующий менопаузе. Несмотря на присутствие болевых ощущений, данная ситуация не является заболеванием: изменение размеров и формы матки с возрастом – естественное явление. Еще одной причиной может быть беременность, увеличение матки возможно в послеродовой период.
http://www.academ-clinic.ru/uvelichenie-matki.html